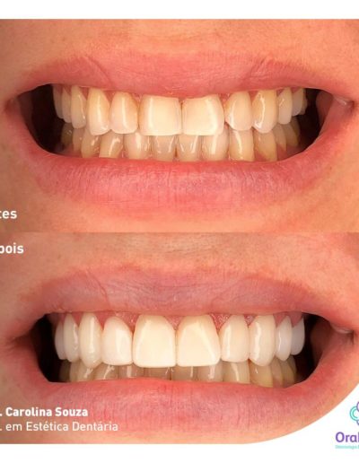
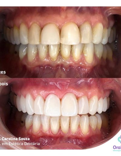
Facetas em Resina
A resina é um material restaurador usado para corrigir imperfeições internas e externas dos dentes. Dentre os procedimentos em que esse material pode ser usado estão as facetas.
As facetas em resina são uma alternativa mais rápida de mudar a estética do sorriso, que surpreendem pela versatilidade e resultados.
Esse tratamento é o mais utilizado para corrigir problemas na cor e na forma dos dentes. Além disso, não necessita de preparo dental (desgaste da região externa dos dentes).
Vantagens
- Todo o tratamento geralmente é realizado em uma sessão;
- Não necessita de facetas provisórias;
- Não precisa fazer o desgaste dos dentes;
- Preço mais acessível se comparado com as facetas em porcelana;
- Resultados estéticos satisfatórios;
- Maior facilidade para fazer consertos, quando necessário;
Para quais casos é indicado
- Fechar espaços entre dentes;
- Recuperar dentes com fraturas extensas;
- Recuperar dentes que tiveram cárie;
- Modificar a forma dos dentes;
- Alinhar os dentes;
- Recuperar, de forma limitada, de dentes escurecidos.
Cuidados
A fim de prevervaro brilho e a cor das facetas é importante ter alguns cuidados:
- Usar escova com cerdas macias;
- Evitar o consumo de alimentos que pigmentam, tais como: café, vinho e chás;
- Evitar o consumo de alimentos que podem danificar as resina como referigerante e cítricos;
- Fazer o polimento periódico das resinas;
- Fazer a higienização diária dos dentre após as refeições.
Procure sempre a orientação de um professional para avaliação a colocação de facetas em resina.
